A 62 YEARS OLD MALE PATIENT FROM SYDNEY CAME TO OUR CLINIC WITH A COMPLAINT OF FAILED BRIDGE AND SENSITIVITY IN ALL THE TEETH AND DIFFICULTY IN CHEWING FOR THE PAST 10 YEARS….
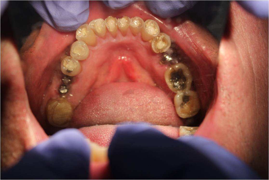
OCCLUSAL VIEW OF UPPER JAW WITH SEVERE ATTRITION ,DENTAL CARIES AND MISSING TEETH
OCCLUSAL VIEW OF LOWER JAW WITH SEVERE
ATTRITION
ATTRITION
PRE OPERATIVE SMILE!!!
FAILED BRIDGE REMOVAL
PRE OPERATIVE X-RAY
REPLACEMENT OF UPPER JAW WITH BASAL IMPLANTS IN BACK TEETH AND ROOT CANALED TREATED FRONT TEETH.
REPLACEMENT OF LOWER JAW WITH BASAL IMPLANTS IN BACK TEETH AND ROOT CANALED TREATED FRONT TEETH.
FRONT VIEW OF TOOTH PREPATATION OF THE UPPER FRONT TEETH AND ZIRCONIA COPING TRIAL IN LOWER JAW
FACIAL VIEW OF ZIRCONIA COPING TRIAL IN UPPER AND LOWER JAW
SEMI TRIAL OF ZIRCONIA CROWNS IN UPPER AND LOWER JAW
THE GRACE GRIN BACK!!!
![]() |
| POST OPERATIVE SMILE |
For Further details log on to
Contact us at:
phone no: +91 - 98404 49777.












No comments:
Post a Comment